浜松市中央区の歯科・歯医者をお探しなら

〒430-0852 静岡県浜松市中央区領家1-1-8(向宿町交差点を南へ1分)
駐車場9台完備

診療時間
9:00~12:30
14:00~18:30

休診日:日曜・祝日

ご予約・お問合せはこちらへ

053-461-3939

歯周外科治療の症例

浜松市中央区の「浜松みなみ歯科」が歯周外科の症例をご紹介します。

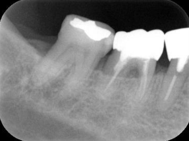
歯周基本治療・歯周外科処置を行なった症例

初診時
浜松市中区の症例紹介 歯周外科
歯周基本治療後
浜松市中区の症例紹介 歯周外科
歯周外科処置
浜松市中区の症例紹介 歯周外科
歯周外科処置後
浜松市中区の症例紹介 歯周外科
初診時
浜松市中区の症例紹介 歯周外科
歯周外科処置後
浜松市中区の症例紹介 歯周外科

初診時年齢:30代女性
治療:歯周病治療
治療法:歯周基本治療、歯周外科処置
治療期間:1年6ヶ月
費用:保険診療
リスク・副作用:歯周外科処置後に出血、腫れ、あざが出ることがありますが時間とともに治ります。術後3週間程度噛んだときの痛みや歯が浮いた感じがすることがあります。術後の歯肉退縮により知覚過敏が生じることがあります、時間とともに落ち着くこともありますが症状が続く場合は根管治療を行います。

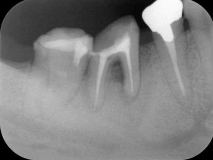
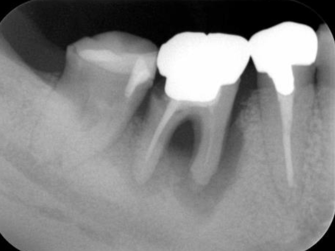
歯周基本治療・根管治療を行なった処置

処置前
浜松市中区の症例紹介 歯周外科
根管治療・
歯周基本治療
浜松市中区の症例紹介 歯周外科
浜松市中区の症例紹介 歯周外科
歯周基本治療後
浜松市中区の症例紹介 歯周外科
処置前(レントゲン)
浜松市中区の症例紹介 歯周外科
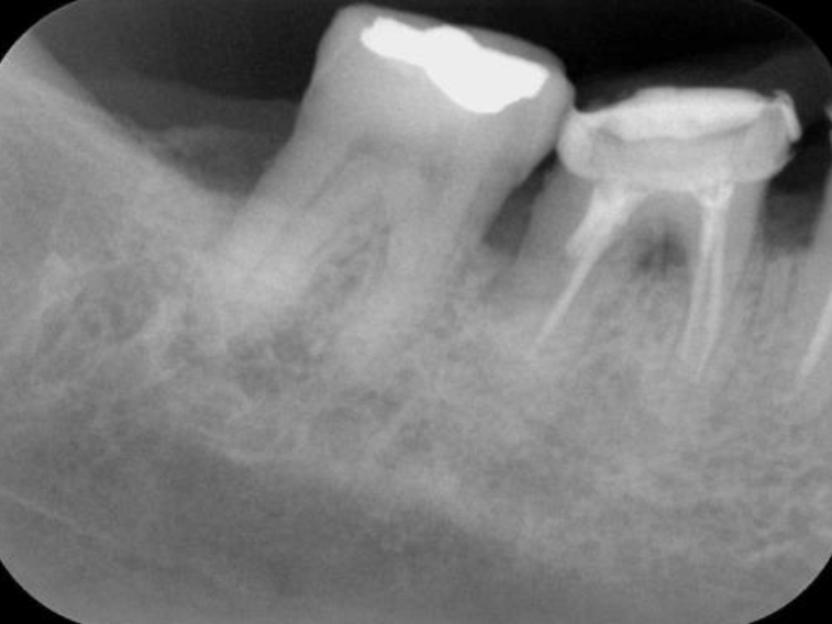
根管治療・歯周基本治療(レントゲン)
浜松市中区の症例紹介 歯周外科
浜松市中区の症例紹介 歯周外科
歯周基本治療後
(レントゲン)
浜松市中区の症例紹介 歯周外科

初診時年齢:
治療:歯周病治療、う蝕治療
治療法:歯周基本治療、感染根管治療
治療期間:6ヶ月
費用:保険診療
リスク・副作用:感染根管処置中に腫れ、痛みが出ることがありますが時間とともに治ります。

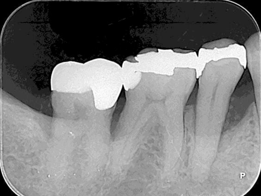
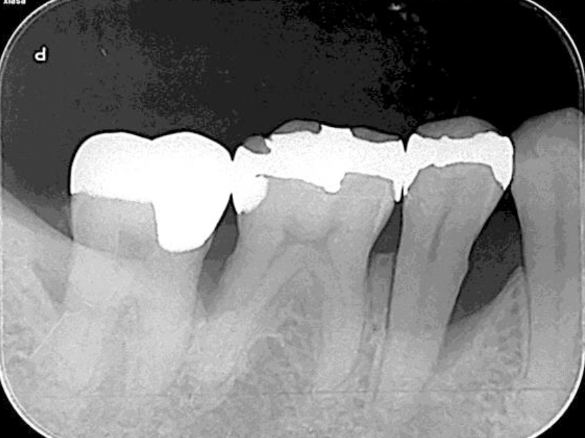
歯周基本治療・根管治療・歯周外科処置を行なった症例

初診時
浜松市中区の症例紹介 歯周外科
歯周基本治療・
根管治療後
浜松市中区の症例紹介 歯周外科
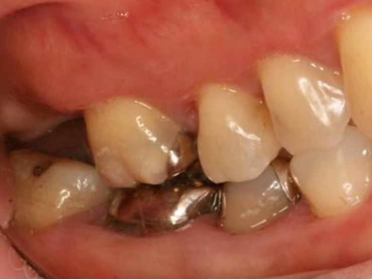
歯周外科処置
浜松市中区の症例紹介 歯周外科
歯周外科処置後
浜松市中区の症例紹介 歯周外科
初診時(レントゲン)
浜松市中区の症例紹介 歯周外科
歯周基本治療・根管治療後(レントゲン)
浜松市中区の症例紹介 歯周外科
歯周外科処置後
(レントゲン)
浜松市中区の症例紹介 歯周外科

初診時年齢:
治療:歯周病治療・う蝕治療
治療法:歯周基本治療、歯周外科治療、感染根管治療
治療期間:1年3ヶ月
費用:保険診療
リスク・副作用:歯周外科処置後に出血、腫れ、あざが出ることがありますが時間とともに治ります。術後3週間程度噛んだときの痛みや歯が浮いた感じがすることがあります。
感染根管処置中に腫れ、痛みが出ることがありますが時間とともに治ります。

再生療法を行なった処置

Before

浜松市中区の症例紹介 歯周外科

After

浜松市中区の症例紹介 歯周外科

Before

浜松市中区の症例紹介 歯周外科

After

浜松市中区の症例紹介 歯周外科

初診時年齢:30代女性
治療:歯周病治療
治療法:歯周組織再生療法
治療期間:1ヶ月
費用:110,000円(税込)
リスク・副作用:歯周外科処置後に出血、腫れ、あざが出ることがありますが時間とともに治ります。術後3週間程度噛んだときの痛みや歯が浮いた感じがすることがあります。

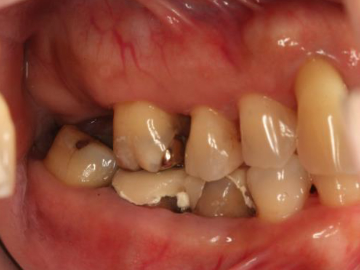
歯周基本治療を行なった処置

Before

浜松市中区の症例紹介 歯周外科

After

浜松市中区の症例紹介 歯周外科

初診時年齢:40代男性
治療:歯周病治療
治療法:歯周基本治療
治療期間:2ヶ月
費用:保険診療
リスク・副作用:治療後の歯肉退縮により知覚過敏が生じることがあります、時間とともに落ち着いてきます。

浜松市中央区で歯周外科の治療を提供している「浜松みなみ歯科」は、重篤な歯周病にも対応します。経験豊富な歯科医師による治療で、歯周病の改善に力を入れています。

浜松市中区の症例紹介 歯周外科

医療法人社団誠和会 浜松みなみ歯科 院長 丹羽 堯彦

資格
パソコン|モバイル