浜松市中央区の歯科・歯医者をお探しなら

〒430-0852 静岡県浜松市中央区領家1-1-8(向宿町交差点を南へ1分)
駐車場9台完備

診療時間
9:00~12:30
14:00~18:30

休診日:日曜・祝日

ご予約・お問合せはこちらへ

053-461-3939

マウスピース矯正の症例

※自費診療です。

浜松市中央区の「浜松みなみ歯科」がマウスピース矯正の症例をご紹介します。

事例のご紹介

2023年7月

浜松市中区の症例紹介 マウスピース矯正

2025年1月

浜松市中区の症例紹介 マウスピース矯正

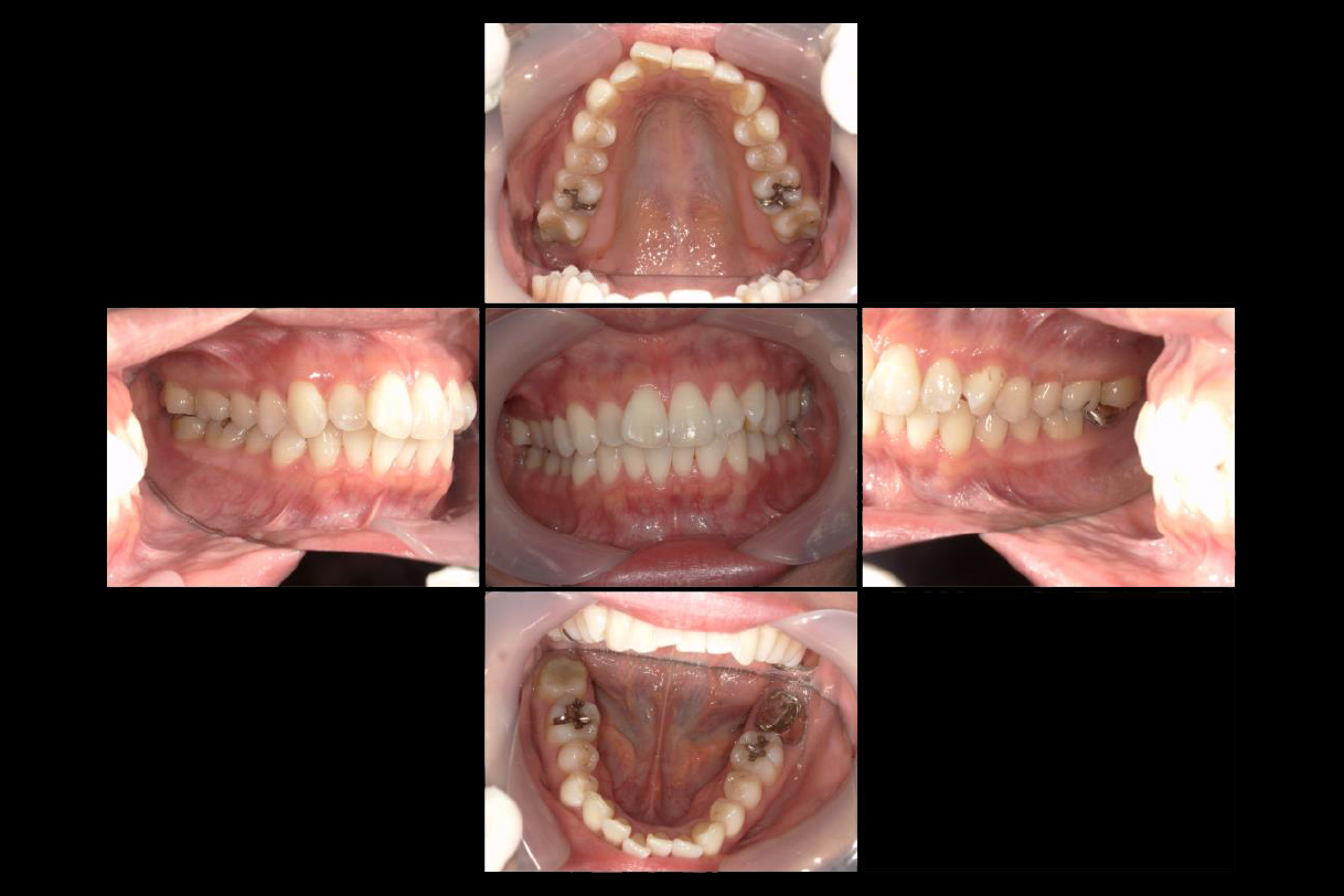
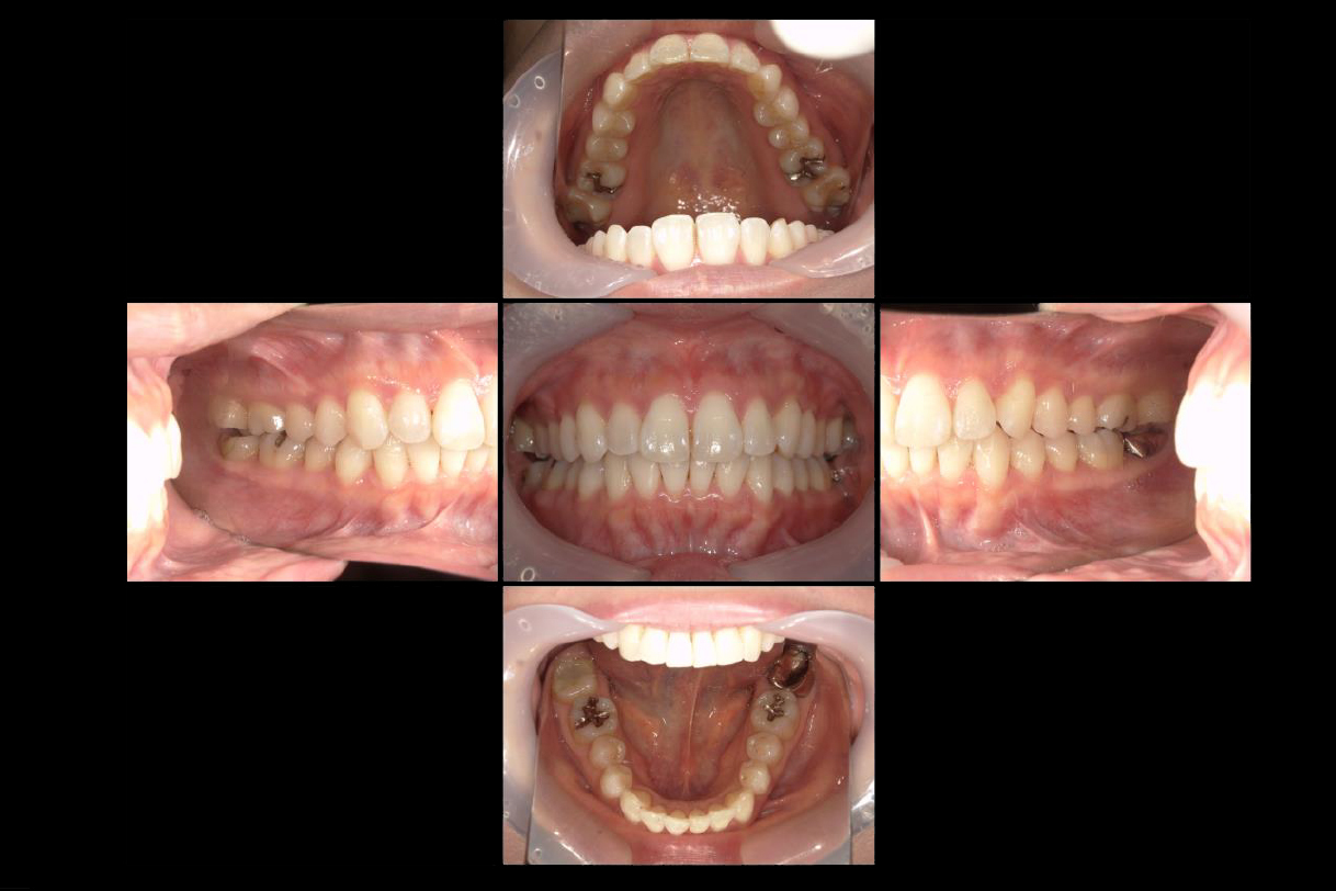
初診時年齢:20代女性
治療:前歯部矯正
治療法:マウスピース型矯正装置(インビザライン)
治療期間:1年9ヶ月
費用:462,000円(税込)
リスク・副作用:装置装着による違和感、歯の移動時の痛み

2024年7月

浜松市中区の症例紹介 マウスピース矯正

2025年8月

浜松市中区の症例紹介 マウスピース矯正

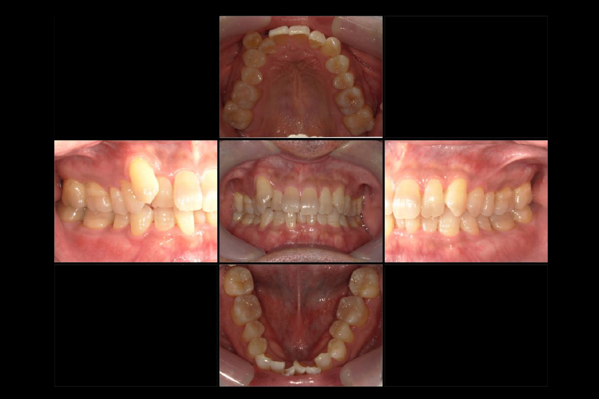
初診時年齢:20代女性
治療:前歯部矯正
治療法:マウスピース型矯正装置(インビザライン)
治療期間:1年1ヶ月
費用:462,000円(税込)
リスク・副作用:装置装着による違和感、歯の移動時の痛み

2022年11月

浜松市中区の症例紹介 マウスピース矯正

2024年4月

浜松市中区の症例紹介 マウスピース矯正

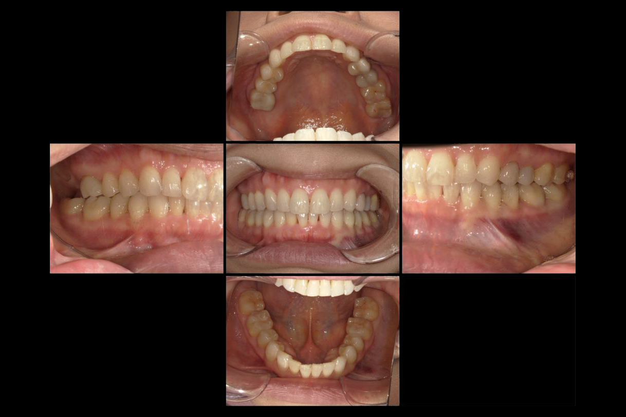
初診時年齢:50代女性
治療:前歯部矯正
治療法:マウスピース型矯正装置(インビザライン)
治療期間:1年6ヶ月
費用:792,000円(税込)
リスク・副作用:装置装着による違和感、歯の移動時の痛み

2022年9月

浜松市中区の症例紹介 マウスピース矯正

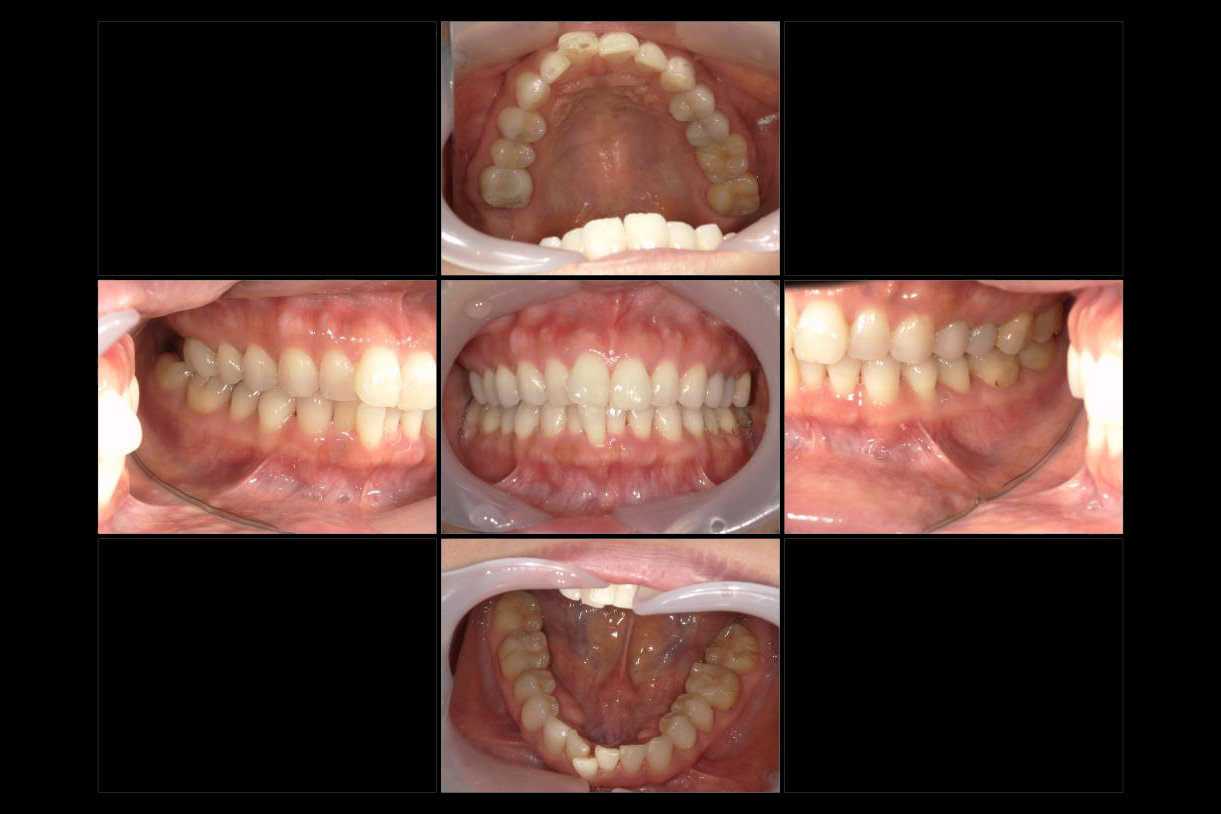
2025年9月

浜松市中区の症例紹介 マウスピース矯正

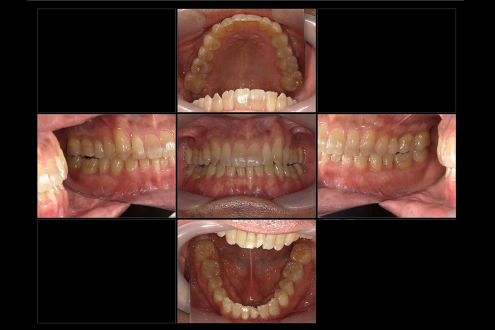
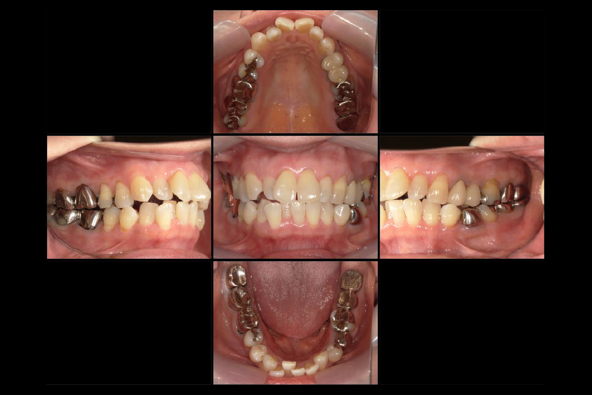
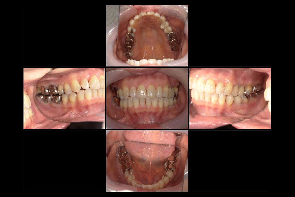
初診時年齢:40代男性
治療:全体矯正
治療法:マウスピース型矯正装置(インビザライン)
治療期間:3年
費用:902,000円(税込)
リスク・副作用:装置装着による違和感、歯の移動時の痛み

2024年2月

浜松市中区の症例紹介 マウスピース矯正
浜松市中区の症例紹介 マウスピース矯正

2024年3月

浜松市中区の症例紹介 マウスピース矯正
浜松市中区の症例紹介 マウスピース矯正

2025年7月

浜松市中区の症例紹介 マウスピース矯正
浜松市中区の症例紹介 マウスピース矯正

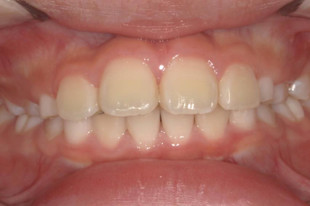
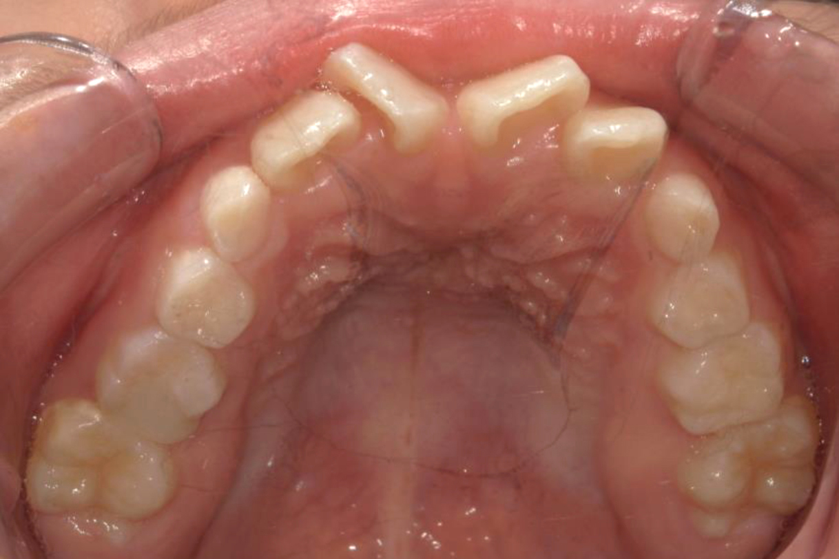
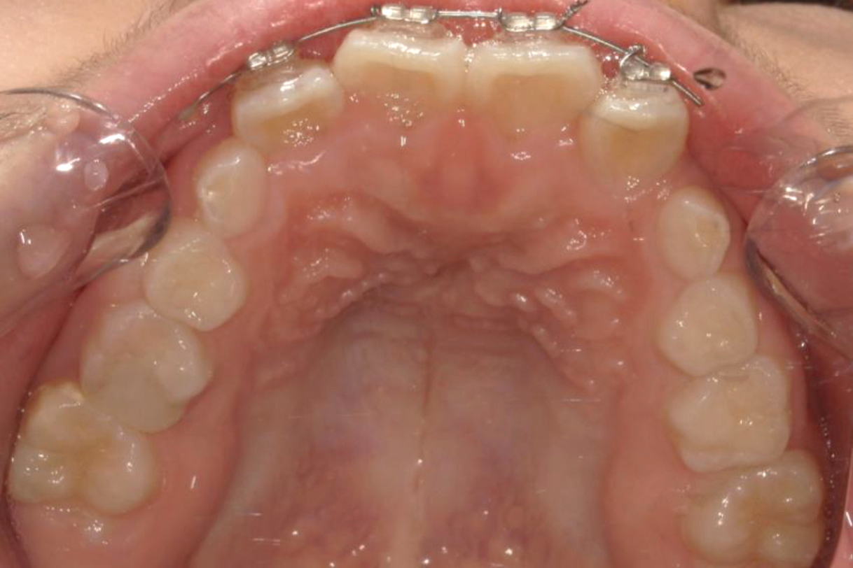
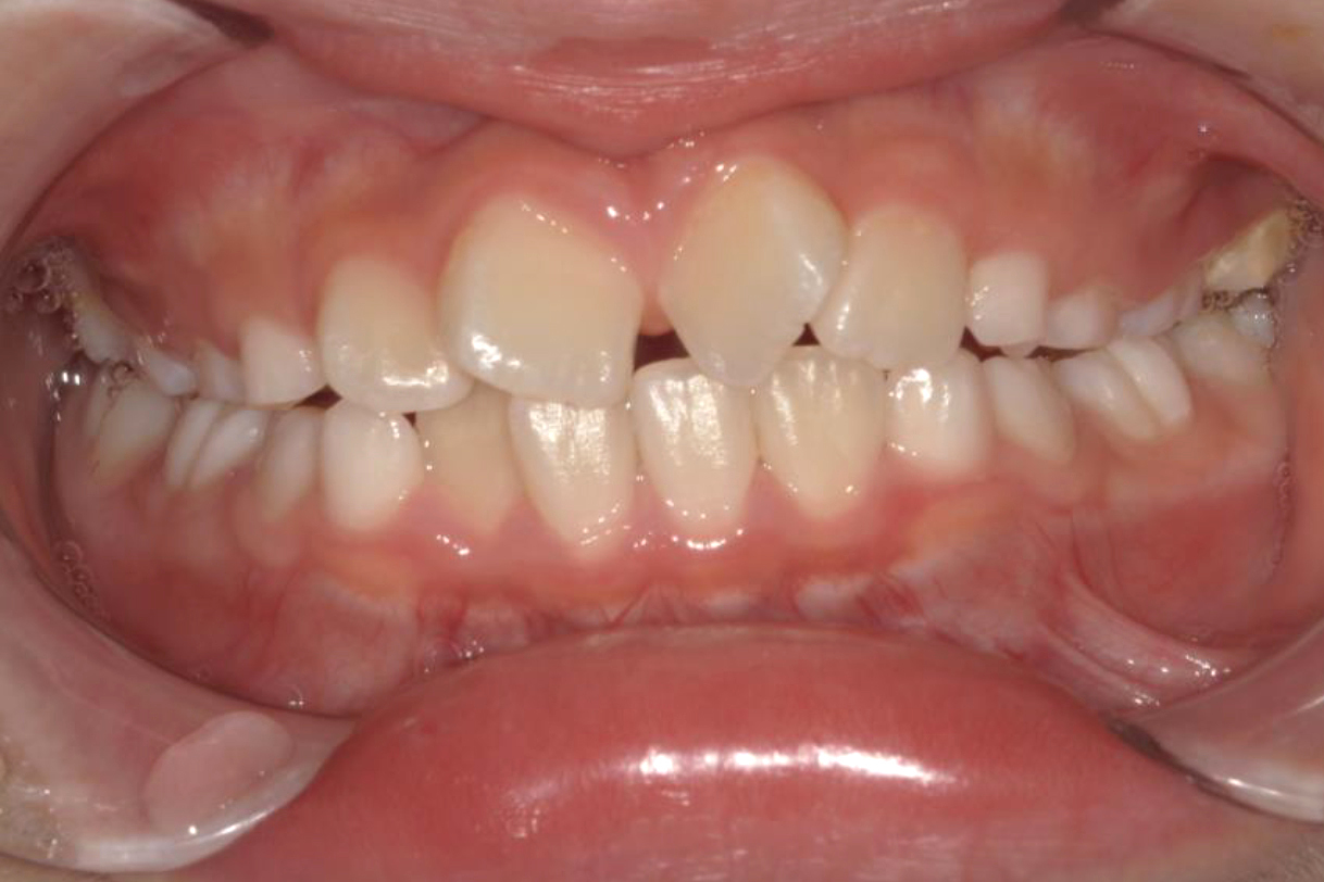
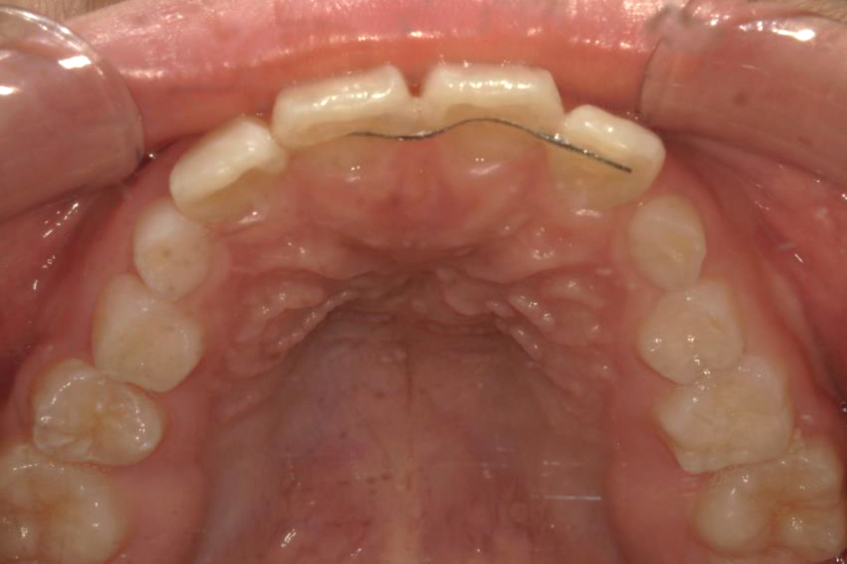
初診時年齢:7歳
治療:前歯部矯正
治療法:上顎前歯部表側の装置
治療期間:2ヶ月
費用:110,000円(税込)
リスク・副作用:装置装着による違和感、歯の移動時の痛み

浜松市中央区の「浜松みなみ歯科」で快適な矯正歯科治療を受けてみませんか。マウスピース矯正は目立ちにくく痛みも少ないため、日常生活に支障をきたしません。快適に美しい歯並びを目指せます。

矯正歯科治療にともなう
一般的なリスク・副作用

  • 機能性や審美性を重視するため自費(保険適用外)での診療となり、保険診療よりも高額になります。
  • 最初は矯正装置による不快感、痛みなどがあります。数日から1~2 週間で慣れることが多いです。
  • 治療期間は症例により異なりますが、成人矯正や永久歯がすべて生え揃っている場合は、一般的に1年半~3年を要します。小児矯正においては、混合歯列期(乳歯と永久歯が混在する時期)に行なう第1期治療で1~2年、永久歯がすべて生え揃った後に行なう第2期治療で1~2年半を要することがあります。
  • 歯の動き方には個人差があるため、治療期間が予想より長期化することがあります。
  • 装置や顎間ゴムの扱い方、定期的な通院など、矯正治療では患者さまのご協力がたいへん重要であり、それらが治療結果や治療期間に影響します。
  • 治療中は、装置がついているため歯が磨きにくくなります。虫歯や歯周病のリスクが高まるので、丁寧な歯磨きや定期メンテナンスの受診が大切です。また、歯が動くことで見えなかった虫歯が見えるようになることもあります。
  • 歯を動かすことにより歯根が吸収され、短くなることがあります。また、歯肉が痩せて下がることがあります。
  • ごくまれに、歯が骨と癒着していて歯が動かないことがあります。
  • ごくまれに、歯を動かすことで神経に障害を与え、神経が壊死することがあります。
  • 治療中に金属などのアレルギー症状が出ることがあります。
  • 治療中に、「顎関節で音が鳴る、顎が痛い、口をあけにくい」などの顎関節症状が出ることがあります。
  • 問題が生じた場合、当初の治療計画を変更することがあります。
  • 歯の形状の修正や、噛み合わせの微調整を行なうことがあります。
  • 矯正装置を誤飲する可能性があります。
  • 装置を外すときに、エナメル質に微小な亀裂が入る可能性や、補綴物(被せ物など)の一部が破損することがあります。
  • 装置を外した後、保定装置を指示どおりに使用しないと後戻りが生じる可能性が高くなります。
  • 装置を外した後、現在の噛み合わせに合わせて補綴物(被せ物など)の作製や虫歯治療などをやり直す可能性があります。
  • 顎の成長発育により、噛み合わせや歯並びが変化する可能性があります。
  • 治療後に親知らずが生えて、歯列に凹凸が生じる可能性があります。
  • 加齢や歯周病などにより歯を支える骨が痩せると、歯並びや噛み合わせが変化することがあります。その場合、再治療が必要になることがあります。
  • 矯正治療は、一度始めると元の状態に戻すことが難しくなります。

マウスピース型矯正装置
(インビザライン)による治療の
リスク・副作用

  • マウスピース型装置(インビザライン)による治療は、機能性や審美性を重視するため自費(保険適用外)での診療となり、保険診療よりも高額になります。
  • 正しい装着方法で1日20時間以上使用しないと、目標とする治療結果を得られないことがあるため、きちんとした自己管理が必要になります。
  • ご自身で取り外せるため、紛失することがあります。
  • 症状によっては、マウスピース型装置で治療できないことがあります。
  • お口の中の状態によっては、治療計画どおりの結果が得られないことがあります。
  • 装着したまま糖分の入った飲料をとると、虫歯を発症しやすくなります。
  • 治療によって、まれに歯根吸収や歯肉退縮が起こることがあります。
  • 食いしばりの癖が強い方の場合、奥歯が噛まなくなることがあります。
  • 治療途中で、ワイヤーを使う治療への変更が必要になることがあります。
  • お口の状態によっては、マウスピース型装置に加え、補助矯正装置が必要になることがあります。
  • 治療完了後は後戻りを防ぐため、保定装置の装着が必要になります。
  • 薬機法(医薬品医療機器等法)においてまだ承認されていない医療機器です。日本では完成物薬機法対象外の装置であり、医薬品副作用被害救済措置の対象外となることがあります。
浜松市中区の症例紹介 マウスピース矯正

医療法人社団誠和会 浜松みなみ歯科 院長 丹羽 堯彦

資格

検診・歯石取り・歯のクリーニング・フッ素塗布などもご予約いただけます。3か月先のご予約もお気軽にどうぞ。

053-461-3939

診療時間

 
午前
午後

午前:9:00~12:30
午後:14:00~18:30

休診日:日曜・祝日

053-461-3939

〒430-0852
静岡県浜松市中央区領家1-1-8
向宿町交差点を南へ1分
駐車場9台完備